앞니 벌어짐 레진 교정 치료 비용
- 건강
- 2025. 6. 12. 19:38
앞니 벌어짐은 시간이 지나면 지날수록 상대방의 앞에서 웃을때 신경을 쓰게 되어 활짝 웃지 못하는 자기만의 부끄러움으로 발전하게 됩니다. 시간이 지나서 앞니 벌어짐 치료를 하고난뒤 밝게 웃게 되었고, 간단하게 앞니 벌어짐 레진 치료를 할수 있다는 것과 교정에 관한 비용에 대하여 정보를 공유해 봅니다.

앞니 벌어짐
앞니가 벌어지지 않은 사람들은 어릴때 부터 앞니 벌어짐으로 인한 스트레스가 얼마나 자신을 얽메고 있는지 본인도 알지 못합니다. 그저 앞니가 벌어졌기 때문에 부끄러움을 알게된 시기부터 앞니 벌어짐으로 남들앞에서 활짝 웃지를 못했습니다.
다른이는 나의 앞니 벌어짐을 신경을 안쓸지 몰라도 본인은 너무나도 신경이 쓰였기 때문입니다. 만약 당신의 아이가 어리다면 앞니 벌어짐 치료 비용이 많이 들어가긴 하지만 초중고 시기 때라면 벌어짐을 교정해 주는것을 추천 합니다.
하지만 사회 생활을 할때는 앞니를 교정시키기도 뭐하고 시간적 여유도 없고, 비용도 많이 들어감으로 앞니 벌어짐은 레진을 통해 치료하면 교정의 비용의 10분의 1도 안들어갈 만큼 저렴하게 감쪽같이 벌어짐을 해결할수 있습니다.

앞니 벌어짐 레진
글쓴이는 40살이 되어서야 레진으로 앞니 벌어짐을 티가 나지않게 완벽하게 메울수 있다는것을 와이프를 통해 알게 되었습니다. 와이프 아는 지인이 앞니가 벌어졌는데 레진으로 메우니 감쪽같고 하루만에 해결이 된다는 말에 와이프에게 비용을 물어보고 내가 생각했던 비용보다는 너무나도 저렴했기에 치과를 방문 했습니다.
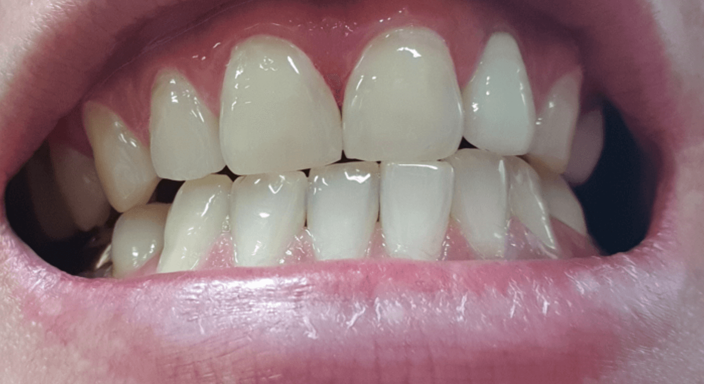
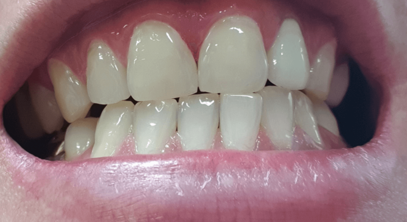
저같은 경우 앞니가 조금 벌어진게 아니라 웃을때 딱보면 저분은 앞니가 벌어졌네 이렇게 보일만큼 이쑤시게 하나정도 들어갈 크기정도 앞니가 벌어 졌습니다.
치과 의사선생님이 딱 보시면서 하는 말이, 빨리 와서 메우지 지금까지 뭐했어요 하면서 웃으셨습니다. 대략 레진으로 앞니를 메우는데 40-50분 정도의 시간이 소요 되었습니다.
완료된후 거울로 앞니를 보여주시는데, 정말 놀라웠습니다, 앞니 벌어짐으로 28년정도 스트레스를 받았는데 이 스트레스와 고민이 약간의 비용으로 모두 해결이 되었습니다. 제눈에는 너무나도 완벽해서 제 앞니가 언제 벌어졌는지 기억도 나지 않을 정도로 만족 했습니다.
- 앞니 벌어짐 레진 시간 1시간 내외
- 앞니 벌어짐 레진 비용 30 ~40만원

앞니 벌어짐 레진 치료 비용
앞니 벌어짐 레진 치료 비용은 벌어짐의 범위에 따라 비용이 더 올라 갑니다. 이유인즉 레진을 더 많이 사용해야 하기 때문입니다. 5년전쯤 앞니 레진을 했는데 그때 비용이 30만원이 들어 갔습니다.
앞니 벌어짐 레진후 약간의 단점이 있는데, 처음 치아를 움직일때 레진이 제대로 맞지 않거나 습관적으로 앞니로 딱딱한 물건을 물어 뜯거나 할때 레진이 깨어질수 있습니다.
저 같은 경우 앞니 레진을 하고 난후 딱딱한것을 앞니로 물거나 씹다가 2번정도 레진이 깨어졌습니다. 그래서 다시 치과에 방문하니 무료로 깨진 부분을 레진으로 메워 주었고 그뒤 3년후 앞니가 살짝 깨졌는데 레진으로 다시 10만원을 주고 깨진 부분을 메워 주었습니다.
요즘 앞니 벌어짐을 레진으로 메울려면 40만원 정도 비용을 주어야 하고 저처럼 어느 시간이 지나서 깨진 부분을 메울려면 10만원 정도의 비용이 들어 갑니다.
치아 교정 기간 견적 교정기 가격 비용
치아 교정을 고민할 때 특히 교정 기간과 교정기 가격 비용이 매우 궁금합니다. 물론 정확한 건 치과에 가서 자신의 치아 치열 상태 등을 고려해서 나오는 치아 교정 견적을 받아본 후 확일할수
bluelsm.com
앞니 벌어짐 교정 비용
한때 그래도 앞니를 교정해 볼까 많은 것을 알아 보았습니다. 교정기 종류도 다양 했는데 일반적으로 어릴때 하는 메탈 교정은 가성비가 좋고 검증된 방법인데 교정 비용은 기본 300만원 이상 합니다.
직장인들이 많이 하는 투명 교정기는 기본가가 500만원 부터 시작이고 제대로 할려면 1천만원까지 들어가는 비용으로 부담스러운 가격대 입니다. 아래 앞니 벌어짐 교정 방법에 따라 비용이 얼마나 들어가는지 간략하게 알아보도록 하겠습니다.
- 메탈 교정 비용 - 300만원 정도 부터
- 투명 교정기 비용 - 500만원 부터
- 설측 교정 비용 - 500만원 이상
- 클리피씨 교정 비용 - 400만원 이상
- 세라믹 교정 비용 - 200만원 정도 부터
이런 교정기 가격을 보면 비용도 비용이지만 교정하는데 상당한 시간이 걸리게 됩니다. 그에 비해 앞니 벌어짐을 레진으로 메우는 경우 비용도 저렴하고 시간은 하루면 충분 합니다.
단 레진 같은 경우 5년정도 지나면 색이 변할수 있고, 딱딱한것을 앞니로 씹을때 깨어질수도 있습니다. 글쓴이 같은 경우는 현재 5년이 지났지만 변색은 크게 표시가 나지 않으며 아직도 깨끗하게 잘 사용하고 있습니다.
앞니 레진 관리는 칫솔질 잘하고 자신이 어떻게 관리 하느냐에 따라 오랜시간 사용할수 있을것 같고, 솔직히 저도 10년까지 사용할수 있을것 같습니다.
앞니 벌어짐 레진 후기
한때 앞니 벌어짐으로 정말 많은 스트레스와 웃을때 자신감을 가지지 못해 활짝 웃지 못했습니다. 그러나 앞니 레진후 지금은 활짝 잘웃을수 있고, 남들 앞에서 웃을때 자신감이 생겼습니다.
앞이빨이 벌어졌다면 30-40만원만 투자해 보세요. 투자 대비 가성비가 매우 좋고 절대 후회하지 않을꺼라 자신합니다. 당신이 오랜 기간 앞니 벌어짐으로 스트레스를 받은 사람이라면 더욱더 레진으로 메우기를 추천 합니다.
치근단절제술 후기 뼈이식 보험 비용
치근단절제술을 받고 난 뒤 나타날 수 있는 부작용과 치근단절제술 할 때 부족한 뼈이식 비용 및 치조골 이식을 하면 보험청구 할 수 있는지에 대한 정보를 공유합니다. 치근단절제술은 치아를
nscer.com
임플란트 크라운 깨짐 빠짐 교체 비용
임플란트 크라운 빠짐이 발생하거나 깨짐으로 인해 임플란트 크라운을 다시 교체해야 하는 상황이 발생합니다. 이때 임플란트를 한지 얼마가 지났는지에 따라 교체 비용이 무상이거나 가격을
nscer.com
앞니 크라운 가격 종류 수명 기간
앞니 크라운 가격은 어떤 크라운 종류를 사용하는지에 따라 가격의 차이가 많이 나며, 일반적으로 올세라믹 크라운, 지르코니아 크라운과 같은 심미성이 뛰어난 소재로 앞니 크라운으로 선택하
nscer.com
'건강' 카테고리의 다른 글
| 제오민 스킨 보톡스 가격 선택 하는 이유 후기 (0) | 2025.07.10 |
|---|---|
| 쥐젖이 생기는 이유, 레이저 제거 비용 (0) | 2025.06.28 |
| 경옥고 유통기한 지나면 보관 관리법 (0) | 2025.06.22 |
| 어금니 충치 깨짐 발치 치료 비용 (0) | 2025.06.15 |
| 스킨 보톡스 효과 언제부터 효과 없음 (0) | 2025.06.06 |
| 충치 치료 비용 재료에 따라 얼마나 할까 (2) | 2025.06.03 |
| 경옥고 당뇨 환자 부작용 복용법 주의사항 (0) | 2025.05.31 |
| 비염 코막힘 리알트리스 나잘 스프레이 치료 (0) | 2025.05.16 |
이 글을 공유하기






