치아뿌리 염증 재발 치근단절제술 실패 후기
- 건강
- 2024. 1. 17. 21:07
치아뿌리 염증을 치료했지만 다시 염증이 재발하여 신경치료 후 치근단절제술을 시도했지만 1년이 다되어가는 현시점에서 다시 잇몸부위가 부어오르고 염증이 생겨 결국 치근단절제술이 실패했음을 알게 되었습니다. 다시 한번 시도할지 아니면 임플란트를 삽입할지 저와 같은 기로에 있는 분들에게 개인적 후기를 남겨봅니다.

치아뿌리 염증 재발
보통 충치로 인해 신경까지 침범한경우 신경치료를 통해 충치와 염증을 제거하고 해당 부위에 크라운을 씌웁니다. 이렇게 시간이 흐르고 무언가 잘못 관리가 되거나 충격으로 인해 치아 뿌리에 염증이 생기면 기존에 해 넣은 크라운을 제거하고 다시 한번 신경치료 및 치근단절제술을 통해 치료를 할 수 있습니다.
결국 임플란트를 하기전 마지막 보류라고 하는 치근단절제술을 하게 되었고, 의외로 실패하는 경우가 많다고 하니 잘 고민해서 치아를 제거하고 바로 임플란트로 갈 것인지 아니면 치근단절제술로 자신의 치아를 지킬지 고민을 잘해봐야 합니다.
치근단절제술 시도
치근단절제술을 하기전 치과선생님도 이렇게 이야기합니다, 모두 성공하는 게 아니라 실패하는 경우도 많기 때문에 일단 한 번은 시도해 보고 안되면 임플란트를 하자고 합니다.
기존 치아뿌리 염증이 생각보다 주변의 뼈를 녹일만큼 범위가 넓었으며, 재신경치료 후 녹은 뼈 주의에 뼈이식을 진행하고 치근단절제술을 실시했습니다.
치근단절제술 비용
치근단절제술 수술은 그렇게 비싸지 않습니다. 건강보험 적용이 되어 몇만 원이면 되지만, 신경치료를 할 때 2-3만 원의 비용이 나오고 다시 크라운을 씌어야 하기 때문에 비용이 만만치 않게 들어갑니다.
기존 뼈가 녹아 뼈가 부족한 경우 치조골이식과 같은 뼈이식을 해야 하면 비용이 30만 원 정도가 더 추가가 됩니다. 즉 수술비용 포함 크라운 비용은 70만원정도 생각해야 하고, 이와 더불어 뼈이식 비용 30만원을 더하면 대략 100만원의 치조골이식비용이 나옵니다.

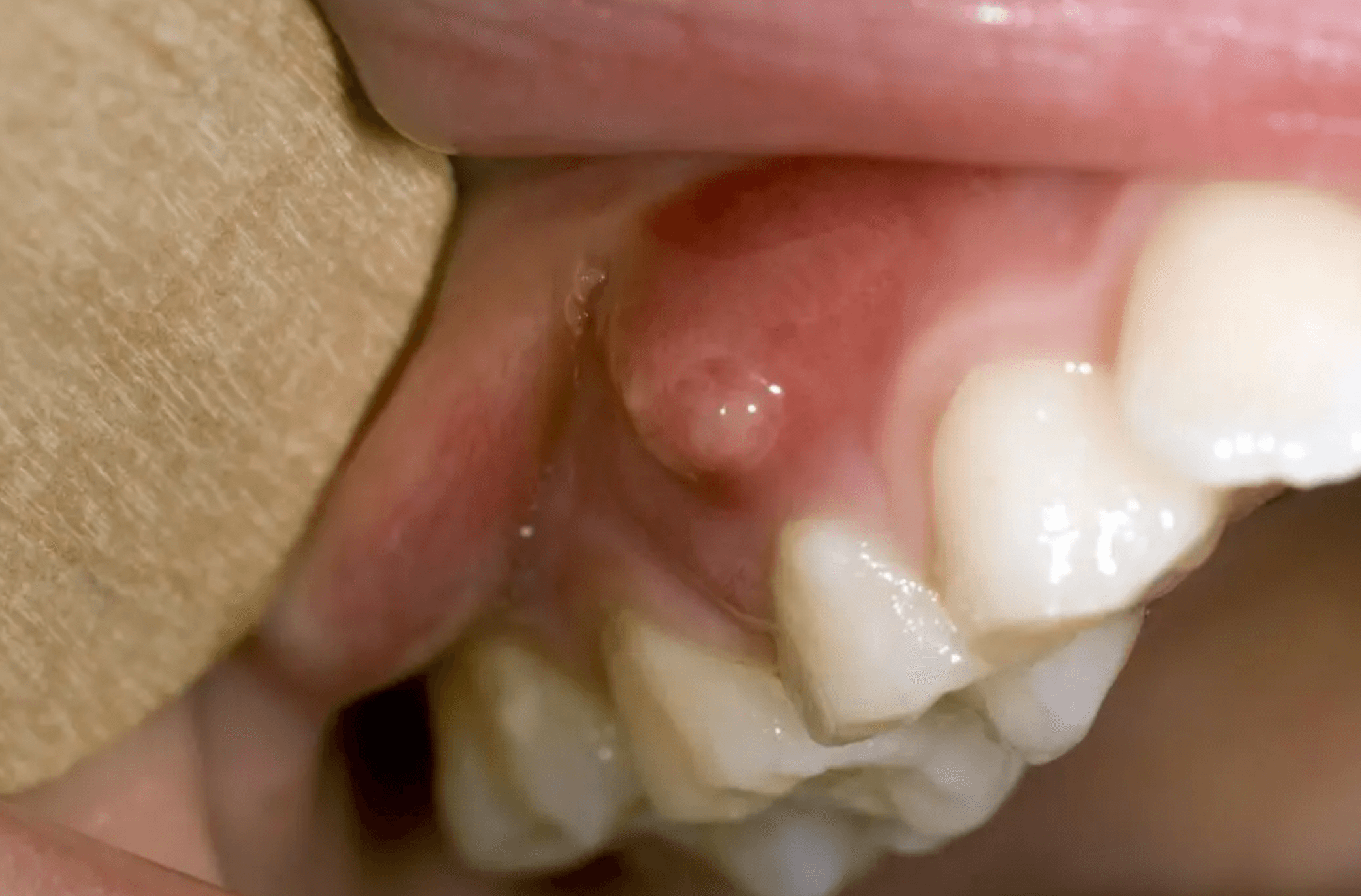
치근단절제술 실패
그렇게 1년 정도가 흘렀고, 어느 순간 치근단절제술을 한 앞니 부분이 얼얼해서 거울을 보니 수술부위의 잇몸이 고름으로 살짝 볼록하게 올라왔으며, 힘을 주어 눌렀더니 기존에 수술했던 부위로 고름이 흘러나왔습니다.
심란한 마음으로 치과에 방문해서 다시 치아 CT를 찍고 치과의사 소견을 들어보니, 기존 치아뿌리 염증이 많아서 깨끗하게 모두 제거하고 했지만 해당부위에서 다시 염증이 생겼다고 이야기를 했습니다.
결국 임시방편으로 처방전을 받아 1주일 정도 약을 먹었더니 염증이 나오지 않았습니다. 그런데 그렇게 몇 주가 흐르니 다시 염증이 새어 나와 치과 의사와 상담을 했습니다.
그냥 방치하는 걸로
다시 치근단절제술을 하기에는 또다시 재발할 가능성이 높다고 그냥 이대로 고름이 기존 수술부위로 계속 잘 새어 나오니 통증이 있는 거 아니라면 당분간 이렇게 방치하고 상황을 지켜보자고 합니다.
이게 맞는 건지 모르겠지만, 치근단절제술 후유증으로 잇몸이 해 넣은 크라운 아래까지 내려오지 못해 치아 잇몸 사이사이 약간의 구멍이 생겼습니다. 이럴 줄 알았으면 그냥 뽑고 임플란트를 아예 해버리는 건데 아쉬움이 남네요.
염증 고름이 그 자리에 남아서 다른 뼈를 녹이지 않고 기존 수술부위로 흘러나오니 별이상 없을 거라고, 저와 같은 사람들이 있어서 그냥 상태가 악화되면 임플란트를 하거나 다시 한번 치근단절제술을 더 해보자고 합니다. 결국 이렇게 방치하고 있는데 요즘 계속 해당 부위가 얼얼한 느낌이 듭니다.

치아뿌리 염증 재발 후기
결국 치근단절제술은 실패를 하였고, 개인적으로 다른 임플란트 삽입할 때보다 치근단절제술 할때 통증이 더욱더 심했습니다. 그래서 다시 치근단절제술을 하자고 하면 솔직히 별로 하고 싶지가 않네요.
그와 더불어 잇몸절개를 하는 것이라서 수술 후 잇몸이 치아 아래까지 내려오지 않는 경우가 발생해 잇몸과 치아 사이 공백이 생겨 너무 보기가 싫습니다.
결국 고생만 하고, 마지막 결론은 앞니 임플란트를 해야할 것 같다란 생각이 듭니다. 치과에서는 상태를 조금더 지켜보고 진행하자고 하는데, 염증이 생겨서 그런지 몰라도 해당치아가 얼얼한 느낌을 자주 받고 내치아 같지 않은 느낌이 들어 결국 발치하고 임플란트 진행해야 할것 같네요. 이상으로 치아뿌리 염증 재발 치근단절제술 실패 후기 포스팅을 줄입니다.
충치 신경치료 비용 기간 후기
치아에 충치가 생기면 간단하게 치료를 할수 있지만, 심한경우 충치를 제거하고 신경까지 침범한 염증을 제거 해야 합니다. 이러한 충치 신경치료 비용이 생각보다 많이 들어가며, 신경치료를
nscer.com
임플란트 뼈이식 보험 수술비 특약 청구 방법
치아 임플란트를 하게 되면 많은 비용이 들어가게 됩니다. 여기에 임플란트 뼈이식까지 하게 되면 더욱더 치료 비용과 가격이 올라가는데, 치아 보험이 없더라도, 자신이 넣어둔 다양한 보험에
nscer.com
'건강' 카테고리의 다른 글
| 배에서 꾸르륵 소리 설사 치료법 (0) | 2024.02.08 |
|---|---|
| 요로결석 체외 충격파 비용 실비 청구 (0) | 2024.02.03 |
| 광동 침향환 가격 프리미엄 효과 할인 이벤트 (0) | 2024.01.28 |
| 상안검 수술 비용 부작용 후기 (0) | 2024.01.23 |
| 하이뮨 프로틴 밸런스 단백질 효과 부작용 후기 (0) | 2024.01.14 |
| 치아뿌리 염증 치근단 농양 치료 수술 비용 후기 (0) | 2024.01.12 |
| 벌어진 앞니 교정 비용 레진 후기 (0) | 2024.01.06 |
| 승모근 보톡스 가격 주기 효과 있을까 (0) | 2023.12.31 |
이 글을 공유하기






