치아뿌리 염증 치근단 농양 치료 수술 비용 후기
- 건강
- 2024. 1. 12. 18:48
치아뿌리 깊은 곳에 염증이 생겨 잇몸 위로 농양이 차올라 피부가 부풀어 올라오는 경우 치근단 농양으로 치료하지 않고 방치하게 되면 염증이 주변의 뼈를 녹이는 것은 물론 치아 상실의 원인 될 수 있습니다. 이러한 치근단 농양 치료 수술 비용 경험에 대한 후기를 남겨 봅니다.

치아뿌리 염증
치아뿌리 염증은, 충치가 심해져서 치아 뿌리 주변까지 염증 세포가 축적되는것을 이야기하며, 꼭 충치가 아니더라도 충격이나 다양한 원인으로 치아뿌리 부분에 염증이 발생할 수 있습니다.
이렇게 치아뿌리에 염증이 발생하면 심각하지 않은 경우는 신경치료를 통해 제거할수 있지만, 심한 경우는 치근단절제술과 같은 치료로 치아 뿌리를 잘래나 고 해당 부위에 있는 염증을 완전하게 치료를 해야 합니다.
치근단 농양
글쓴이 같은 경우 치근단 농양으로 현재 2개의 임플란트를 하였으며, 하나는 치근단절제술로 몇개월 잘 유지되는가 싶더니 다시 염증이 잇몸을 뚫고 나와 현재 다시 치근단절제술을 할지 아니면 뽑고 임플란트를 할지 고민을 하고 있습니다.
이처럼 치근단 농양은 치료를 한다고 모두 정상으로 돌아오는게 아닙니다. 다시 재발하여 염증이 차오를 수 있으며, 결국 치근단절제술도 통하지 않아 치아를 발치하고 임플란트를 해야 됩니다.
치근단 농양 증상
- 뜬금없는 두통과 치아 통증
- 뜨거운것을 먹으면 통증
- 잇몸 주변 발적
- 만성적 잇몸 누공 발생
치아뿌리에 염증이 있다고 느껴지는 증상은 뜨거운 음식을 먹었을 때 분명 해당 치아는 신경치료를 다 끝냈고 크라운을 씌어 놓았는데 그 부위가 뜨겁거나 차가운 음식이 들어가면 통증을 느낄 수 있습니다.
글쓴이 또한 치근단 농양으로 발치한 치아 모두 신경치료를 하고 크라운을 씌어놓은 치아가 무슨 이유인지 치아 뿌리에 염증이 생겨 발치하거나 치근단절제술을 했습니다.

치근단 농양 원인
치근단 농양의 원인은 다양하지만, 일반적으로 건강한 치아 뿌리에 염증이 생겼다는 이야기는 별로 들어보지 못했습니다. 저처럼 기존에 충치로 인하여 치료를 받았던 치아이거나, 충치를 오랜 시간 방치하여 뿌리까지 염증이 생긴 치아들이 치근단 농양의 주원인이 됩니다.
왜 신경치료도 잘하는 치과에 가서 해야 하는지 생각하게 되는 치근단 농양입니다. 글 쓰는 동네 치과에서 아무 생각 없이 충치 신경치료하고 크라운을 덮어 두었는데, 그치아 모두 1-2년 만에 치아뿌리 염증이 생겨 치아를 발치하게 되었습니다.
치근단 농양 수술 비용
일명 치근단절제술이라고 하며, 치근단 수술 비용은 큰돈은 들어가지 않습니다. 먼저 기존 신경치료한 부위에 다시 한번 신경치료를 하고, 이후 치근단 절제술을 하게 됩니다.
이때 발생하는 비용은 신경치료 비용과 치근단절제술 비용인데 합해봐야 10만원 내외의 비용이 들어갑니다. 그러나 이후 치근당 농양으로 인해 뼈가 많이 녹았거나 한경우 뼈이식 비용으로 30만원, 크라운을 덮어 씌우는 비용 55 ~ 70만원의 비용이 추가됩니다.
즉 치근단 농약 수술 비용은 최소 신경치료부터 크라운 씌우는 비용까지 포함하여 최소 60만원 최대 110만원 정도의 비용이 발생할 수 있습니다.

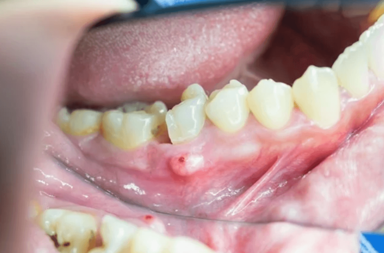
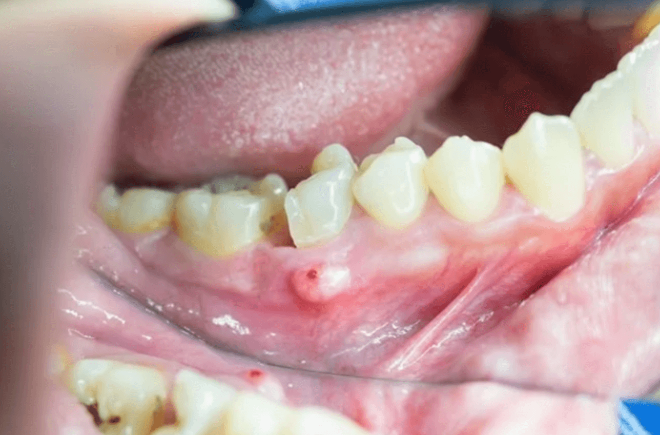
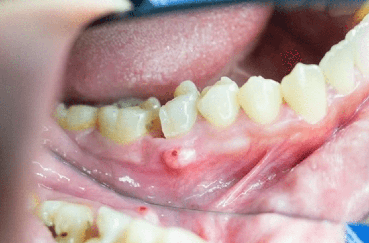
치근단 농양 수술 후기
치근단 농양 치료 수술은 치근단절제술이라고 하여, 치아뿌리를 절단하여 더 이상 염증이 나오지 않게 치료하는 것입니다. 이러한 치료를 하였다고 하여 100% 성공이 되는 것이 아니기 때문에, 재발할 가능성 또한 높습니다.
글쓴이 또한 이번에 재발하여 다시 재수술을 하자니 치근단절제술 하기가 생각보다 쉽지 않고 통증이 생각보다 심했습니다. 저는 염증이 심해서 뼈를 많이 녹여서 뼈이식을 했는데 얼굴이 거이 1주일 이상 부어 있었거든요.
수술 후에도 잇몸이 아직도 크라운 쪽으로 100% 내려오지 않아 약간 치아와 잇몸사이 구멍이 있어 자세히 보면 정말 보기가 싫습니다. 그래서 차라리 이번에 그냥 뽑아버리고 임플란트로 할까 그런 생각도 드는데, 최대한 살려보고자 치과 의사와 현재 고민 중인 치아입니다.
뭐든 자신의 치아가 가장 좋기에, 치아에 문제가 생기면 절대 미루지 말고 최대한 빨리 가는 것이 비용을 절감하고 빠른 쾌유가 되는 것이 치과 관련 치료입니다. 그러니 정기검진 하셔서 관리한다면 글쓴이와 같이 치아에 나가는 비용 시간을 줄일 수 있습니다.
이상으로 치아뿌리 염증 치근단 농양 치료 수술 비용 후기 포스팅을 이만 줄입니다. 그리고아래는 제가 재신경치료 비용 및 치근단절제술 치조골이식 후기를 적어놓은 글입니다 참고하세요.
충치 신경치료 비용 기간 후기
치아에 충치가 생기면 간단하게 치료를 할수 있지만, 심한경우 충치를 제거하고 신경까지 침범한 염증을 제거 해야 합니다. 이러한 충치 신경치료 비용이 생각보다 많이 들어가며, 신경치료를
nscer.com
치아 앞니 염증 방치하면 뼈녹음
예전에 크라운으로 씌어놓은 앞니가 그당시 통증이 있었는데, 그이후 괜찮아서 방치했다면 저와 같은 경우가 발생할수 있습니다. 앞니 염증 방치하면 생기는일 뼈녹음 결국 임플란트를 해넣어
nscer.com
벌어진 앞니 교정 비용 레진 후기
벌어진 앞니로 스트레스를 받는 사람들이 있습니다, 글쓴이 또한 앞니 벌어짐으로 오랜 기간 스트레스를 받았기에 개인적으로 추천하는 벌어짐 교정 방법에 대한 비용과 레진을 한 후기를 남겨
nscer.com
'건강' 카테고리의 다른 글
| 광동 침향환 가격 프리미엄 효과 할인 이벤트 (0) | 2024.01.28 |
|---|---|
| 상안검 수술 비용 부작용 후기 (0) | 2024.01.23 |
| 치아뿌리 염증 재발 치근단절제술 실패 후기 (2) | 2024.01.17 |
| 하이뮨 프로틴 밸런스 단백질 효과 부작용 후기 (0) | 2024.01.14 |
| 벌어진 앞니 교정 비용 레진 후기 (0) | 2024.01.06 |
| 승모근 보톡스 가격 주기 효과 있을까 (0) | 2023.12.31 |
| 임플란트 뼈이식 보험 수술비 특약 청구 방법 (0) | 2023.12.25 |
| 위암 검진 대상자 위내시경 실비 보험 불가 (0) | 2023.12.19 |
이 글을 공유하기






