이맥스 세라믹 골드 인레이 가격 차이
- 건강
- 2023. 5. 24. 21:23
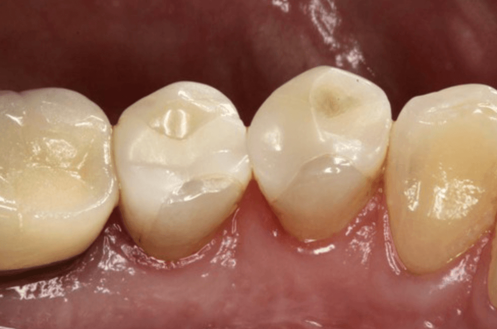
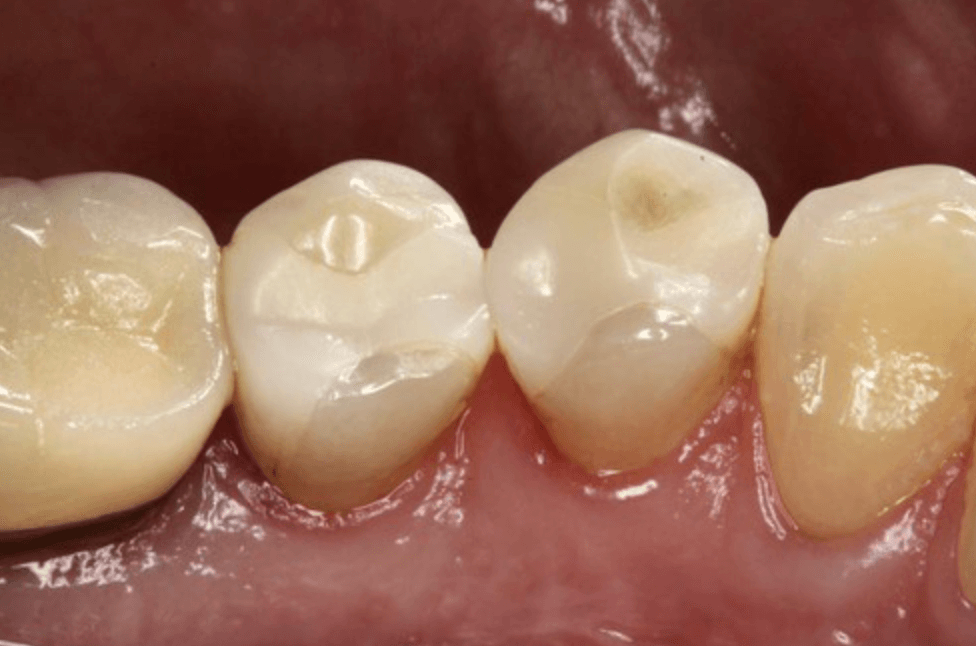
치아가 신경치료를 하지 않지만 범위가 깊고 넓은 경우 인레이 치료를 하게 됩니다. 이때 이맥스 세라믹 인레이를 하거나 골드 크라운 인레이를 하게 되는데 어느상황에 이맥스가 어울리는지 또는 그냥 레진이나 골드 인레이를 사용하는지에 대한 정보와 최근 가격에 대한 정보를 공유 합니다.

인레이를 하는 이유
인레이는 세라믹 도자기 및 금과 같은 치과용 합성물로 치아색 재료를 만들수 있습니다. 문제가 있는 치아를 치아색상의 인레이로 교체하고 치아에 접착할수 있으며, 이는 치아의 강도를 향상시키고 문제가 있는 치아를 이상없이 사용할수 있도록 할수 있습니다.
치과의사는 제거한 치아 영역에 완벽하게 맞도록 모양을 만들고, 인레이의 목적은 음식과 다른 박테리아가 충전물 아래로 들어가 더 많은 부패를 일으키는 것을 방지하기 위함입니다.


인레이 종류
인레이 종류에는 다양 합니다. 그러나 실제로 치료할 치아부위가 넓거나, 기존에 때어놓은 납땜이나 레진이 떨어져 공간이 넓어진 경우 인레이를 하게 되는데 치과에 가면 몇가지 종류를 이야기 안합니다. 그럼에도 인레이 종류는 아래와 같습니다.
- 골드 인레이
- 이맥스(세라믹) 인레이
- 지르코니아 인레이
- 레진 인레이
보통 저렇게 4가지를 이야기 하지만, 레진 같은경우 그냥 조금 때울때 사용함으로 때울공간이 많이 필요한 인레이를 할때는 주로 이맥스로 하냐 금으로 하나 그러한 차이가 있습니다.

골드 인레이 가격
금인레이를 하는 이유는 장기적으로 사용할때 부식과 변색이 가장 적으며, 저또한 금니를 20년 넘께 사용하고 있는데 아직까지 이상 없이 사용할 만큼 강도와 부식에 강합니다.
보통 씹는 힘이 강한 남성분들에게 골드 인레이가 추천을 많이 하는데 위치상 아랫이빨에 금이 보이는 경우를 싫어하시는 분들은 이맥스 인레이로 진행하며, 골드 인레이가 강도가 강한것은 좋은데, 지속적으로 충격이 가해지면 인레이 자체에는 문제가 없지만, 치아에 금이 갈수 있는 부작용이 발생할수 있습니다.
치아 치료 범위가 넓은 경우의 인레이 및 온레이 인경우 심미적인 이유 때문에 금이 사용되지 않을수도 있고, 강도의 안정성 때문에 위치에 따라 사용하기 유리할수도 있습니다.
- 골드 인레이 가격 35-40만원
인레이 가격중 가격 비싼 가격이 골드 인레이이며, 최근 금값이 많이 올라서 요즘은 40만원은 줘야 골드 인레이를 할수 있습니다. 물론 범위에 따라 조금 다를수도 있습니다. 아차 그리고 골드 인레이는 열전도율 때문에 치료후 뜨겁고 차가운 음식으로 인해 1-2주 주의 하셔야 합니다.

이맥스(세라믹) 인레이 가격
이맥스 인레이는 가장 많이 사용하는 인레이중 하나이며, 심미성이 뛰어나 어디에서든 다양하게 사용 할수 있습니다. 물론 골드 인레이보다 강도는 약합니다. 그로인하여 금과 달리 연성이 없기에 충격이 가해질경우 치아로 힘이 전달되지 않고 인레이가 금이가거나 꺠어질수 있습니다.
이러한 점을 볼때 골드 인레이가 더좋다고 이야기 하는 분들도 있지만 깨어지지 않는 골드 인레이가 더 좋아보이지만, 충전물이 꺠어지는게 치아로 힘이 전달되지 않아 본치아를 더 보호 해줄수 있는 반대로 장점이라고 말할수 있습니다.
- 이맥스 인레이 가격 30만원
- 다른말로 세라믹 인레이 가격 30만원
저도 얼마전에 인레이를 했는데, 골드 인레이랑 가격이 같다고 치과의사가 이야기 했습니다, 그러나 일반적으로 골드 인레이가 이맥스 인레이 보다 가격이 5-10만원 더 비쌉니다.
인레이 가격
- 골드 인레이 가격 35-40만원
- 이맥스 인레이 가격 30만원
- 지르코니아 인레이 가격 25-30만원
- 레진 인레이 가격 22- 25만원
인레이 종류는 위와 같으며 가격은 보통 저정도로 형성되어 있습니다. 치료할 치아 범위가 너무 넓은경우는 인레이가 아닌 온레이로 진행되며 가격은 조금더 올라가게 됩니다. 이상으로 이맥스 세라믹 골드 인레이 가격 차이 포스팅을 마칩니다.
치조골이식수술 보험 청구 후기
맨안쪽 어금니 뿌리에 염증이 생겨 결국 치아를 발치하게 되었습니다. 치아 발치후 임플란트를 넣으면서 뼈가 부족하여 결국 치조골이식수술을 하게 되었습니다. 이러한 치조골이식수술을 하
nscer.com
치아 앞니 염증 방치하면 뼈녹음
예전에 크라운으로 씌어놓은 앞니가 그당시 통증이 있었는데, 그이후 괜찮아서 방치했다면 저와 같은 경우가 발생할수 있습니다. 앞니 염증 방치하면 생기는일 뼈녹음 결국 임플란트를 해넣어
nscer.com
앞니 어금니 이빨 깨짐 치료 비용
음식을 씹다보면 어처구니 없이 이빨이 깨지는 경우가 발생합니다. 특히 닭을먹다가 앞니와 어금니 이빨 깨짐 돌발상황을 경험 하시는 분들이 많은데, 이렇게 이빨 깨짐 치료 비용은 얼마나 들
nscer.com
스케일링 비용 건강보험 적용 가격 효과
잇몸이 붓거나 피가나는경우 치아 스케일링 만큼 효과적인 치료도 없을것이다. 스케일링을 하게되면 치아를 갈아버리기때문에 치아 공간이 더 벌어진다는 잘못된 정보와 스케일링 비용 건강보
nscer.com
치아 신경치료 비용 크라운 가격
바쁘다고 치과에 가지 않고 괜찮겠지 시간을 보내다가 결국 통증이 심해져 치과를 찾으면, 치과의사는 이런말을 합니다. 충치가 뿌리 깊게 들어가서 신경치료를 해야겠다고, 그러면 우리가 알
nscer.com
'건강' 카테고리의 다른 글
| 지르코니아 크라운 가격 어금니 후기 (0) | 2023.06.14 |
|---|---|
| 저분자 콘드로이친 1200 효능 추천 (0) | 2023.06.11 |
| 부신피질호르몬제 스테로이드 부작용 (2) | 2023.05.30 |
| 충치치료 비용 레진 보험적용 가능 나이 (2) | 2023.05.27 |
| 자가면역질환 영양제 주사 수액 가격 (4) | 2023.05.21 |
| 오십견 치료방법 증상 후기 (0) | 2023.05.18 |
| 하지정맥류 수술 비용 실비 후기 (2) | 2023.05.12 |
| 훼라민Q 가격 효능, 갱년기 증상 치료제 (2) | 2023.05.09 |
이 글을 공유하기






