전체임플란트 가격 소비자 입장 후기
- 건강
- 2023. 10. 2. 12:45
전체임플란트라고 이야기를 해서 입안 모두 임플란트를 하는게 아닙니다. 틀니를 빼고 꼽고 하지 않게 중간 중간 임플란트를 삽입하여 브릿지 처럼 지지대를 만들어 주는것을 요즘 전체임플란트라고 많이들 이야기하며, 전체임플란트 가격에 대하여 소비자의 입장의 후기를 남겨 봅니다.

전체임플란트
많은 과대 광고속에서 요즘 임플란트 하나에 38만원 55만원 이런 이야기들이 많이 있습니다. 그러나 실제적으로 치과에가서 치료를 받으면 이러한 금액에 최소한 2-3배의 가격이 더 나옵니다.
임플란트를 하나라도 삽입해 보신 분이라면 위의 가격대가 터무니 없음을 알수 있으며, 실질적으로 추가되는 비용을 알게 됩니다. 임플란트를 해야되는 위치에 따라 상악동 거상술이 추가되면 비용이 올라가고, 거기에 치조골이식을 하게 되면 또 비용이 추가가 됩니다.
어르신들 같은 경우 대부분 임플란틀 성공을 위해 뼈이식을 많이 하는데 이 비용만 대략 30만원이 들어가는데 어떻게 38만원으로 임플란트를 할수 있을까요, 과대 광고는 그냥 한번쯤 들어가서 어떤 내용인지 역으로 파악한다면 보다 임플란트 시술 비용에 대해 잘 알수 있을것 같습니다.
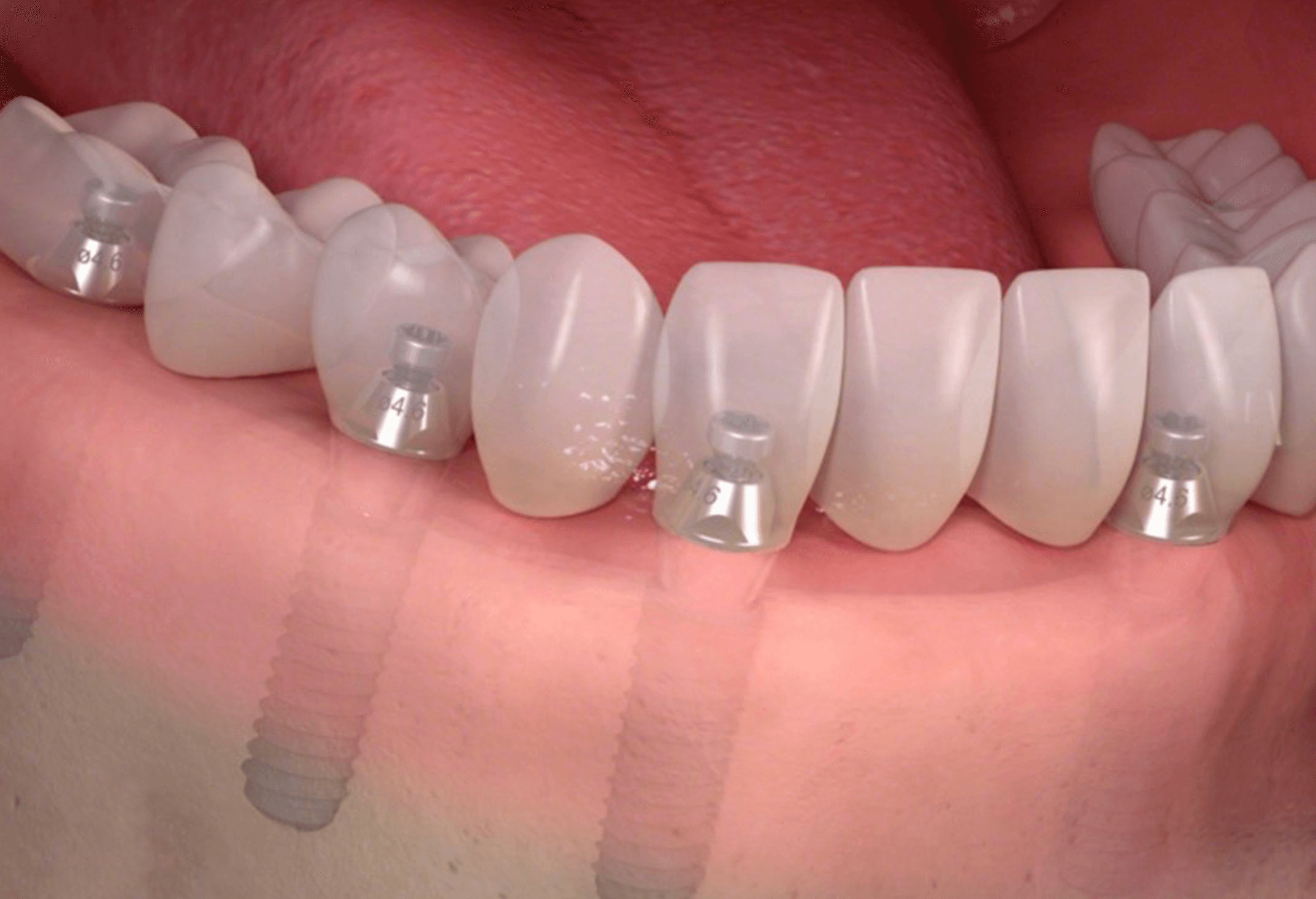
전체임플란트란 말그대로 전체적으로 임플란트를 하는 것입니다. 제 주변에 전체 임플란트를 하신 분이 있습니다. 그분은 틀리 처럼 한게 아니라 진짜 위아래 임플란트를 대부분새롭게 했으며 비용은 수천만원이 들어갔습니다.
그런데 요즘 전체임플란트라고 선전하는 시술들은 나이드신 분들 틀니처럼 빼고 꼽는것만 하지 않지 치아 중간 중간 임플란트를 삽입해서 브릿지 연결하든 중간 지지대 역활을 하며 보통 위아래 각각 6-8개를 사용하여 전체임플란트를 하고 있습니다. 이러한 전체임플란트 가격은 아래와 같이 계산하면나옵니다.

전체임플란트 가격
일반적으로 저렴하게 하는 임플란트 가격은 120만원 정도입니다. 여기에 뼈이식이나 상악동 거상술이 추가되면 비용은 더 올라가게 됩니다. 즉 위쪽에 임플란트를 6개를 할경우 최소 120만원 X 6 = 720만원 이며 여기에 브릿지 처럼 들어가는 크라운을 개당 추가하면 몇백만원이 들어가기 때문에 위아래 각각 천만원은 잡아야 한다고 생각합니다.
아랫쪽 치아들은 임플란트 성공율을 높이기 위해 뼈이식만 추가가 되겠지만, 위쪽 어금니 같은 경우 상악동 공간 부분에는 거상술을 해야해서 비용이 더 추가 될수 있습니다.
- 위아래 전체임플란트 가격 각각 1천만원 이상
이정도는 생각하고 진행해야 합니다. 즉 위아래 전체임플란트를 시행할시 대략 가격은 2천만원은 생각하시고, 추가적인 비용은 없는지와 해당 치과가 잘하는곳인지, 사후 관리가 잘되는곳인지 꼭 채크를 해야 합니다.

전체임플란트 소비자 후기
저또한 치아가 좋지 않아, 현재 임플란트 및 크라운으로 치아를 둘러 쌓고 있습니다. 당연히 브릿지도 있는데, 골드 크라운 같은 경우 상당히 오랜시간 버티어 주던데, 임플란트는 주변분들을 둘러 보니 10년이 지난후 문제가 생기는 경우가 더러 있었습니다.
특히 흡연을 하시는 분들은 임플란트 잇몸 문제와 같은 다양한 문제점으로 다시 임플란트를 하는 경우를 지인중에 많이 있으셔셔 정말 임플란트 관리는 잘해야 된다 생각이 드는데, 현실적으로 대부분 제대로 관리를 안합니다.
그렇기 때문에 사후관리를 잘해주는 치과에서 전체임플란트를 하는것이 좋으며, 최대한 집과 가까운 곳에서 하는것이 향후 임플란트 관리하는데 수월합니다. 이상으로 전체임플란트 가격 소비자 입장 후기 포스팅을 줄입니다.
치과 관련 궁금한 정보
치조골이식수술 보험 청구 후기
맨안쪽 어금니 뿌리에 염증이 생겨 결국 치아를 발치하게 되었습니다. 치아 발치후 임플란트를 넣으면서 뼈가 부족하여 결국 치조골이식수술을 하게 되었습니다. 이러한 치조골이식수술을 하
nscer.com
임플란트 가격 상악동 거상술 비용 총정리
치아가 약하거나, 관리를 제대로 하지 못한 분들은 임플란트를 다른 사람들보다 빨리 하게 되는 경우가 있습니다. 저또한 치아가 약해서 임플란트를 젊은나이에 하게 되었습니다. 많은 분들이
nscer.com
임플란트 종류 수술 비용 후기
치아가 건강하지 못한 사람들은 임플란트 가격 및 치과 비용에 많은 신경이 곤두 섭니다. 그도 그럴것이 너무나도 비싼 비용 때문에 꺼려지기도 하구요. 또한 임플란트가 해넣기 까지 오랜기간
nscer.com
'건강' 카테고리의 다른 글
| 갱년기 땀, 두통, 열감, 불면증 증상 약 (0) | 2023.11.08 |
|---|---|
| 울산 공휴일 진료 남구 좋은소아과 입원가능 대기적음 (0) | 2023.10.28 |
| 보스웰리아 플렉서 관절에 좋은 효능 (0) | 2023.10.21 |
| 피부 좋아지는법 7가지 전문가 팁 (0) | 2023.10.11 |
| 흑염소 진액 가격, 엑기스 효능 부작용 추천 (0) | 2023.09.26 |
| 라미실원스 가격 효과 주의사항 (0) | 2023.09.25 |
| 눈에 검은점 비문증 수술 비용 후기 (0) | 2023.09.17 |
| 대장암 초기증상 2023 총정리 (0) | 2023.09.09 |
이 글을 공유하기






